Facilities & Labs

The overarching aim of our research program is to better understand signal transduction pathways involved in cancer. Our work covers the gamut of basic cancer biology through translational studies in mouse models and human tissues, and interfaces with clinical trials. Our lab uses a variety of technologies including mammalian tissue culture, molecular analyses of gene and protein expression, gene expression microarrays, next-generation DNA sequencing, bioinformatics, protein microarrays, mass spectrometry, mouse models, and live animal imaging.

Delineation of Signaling Pathways in Cancer

The overarching aim of our research program is to better understand signal transduction pathways involved in cancer. Our work covers the gamut of basic cancer biology through translational studies in mouse models and human tissues, and interfaces with clinical trials. Our lab uses a variety of technologies including mammalian tissue culture, molecular analyses of gene and protein expression, next-generation DNA sequencing, bioinformatics, protein microarrays, mass spectrometry, mouse models, patient derived xenografts, patient derived organoids and live animal imaging.​

Breast Cancer

  • 1 in 8 women in the U.S. will be diagnosed with breast cancer in her lifetime​

  • It’s projected that more than 43,000 deaths will occur from breast cancer in 2023 in the U.S.​

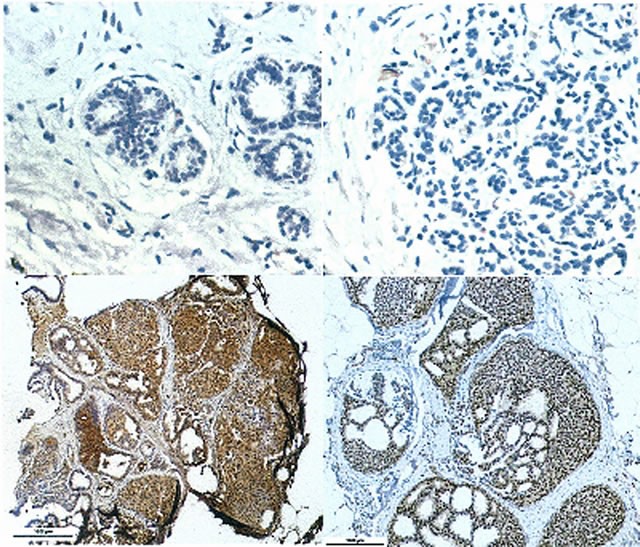
  • ~20% of breast cancers overexpress HER2, a more aggressive tumor type​

HER3 (ERBB3) Mutations in Cancer Patients​

The frequency of HER3 alterations as seen in bladder (n = 2419), breast (n = 8615), colorectal (n = 4453), and lung (n = 7204) cancers across different subtypes and multiple nonredundant studies.​

Non-muscle myosin iia Signaling- a Therapeutic Target in Cancer​

EMIT Photo

Welcome to the Experimental Molecular Imaging and Therapeutics (EMIT) Lab. We are an interdisciplinary research group with interests in design and development of new investigational and interventional tools for human diseases, from cancer to infections. We combine the principles of pharmacology, chemical biology, nanoscience, molecular biology, nuclear imaging and microbiology to find exciting ways to solve biomedical challenges. 

Experimental Therapeutics

We are interested in developing new strategies to combat cancer, particularly cancer metastases and drug resistance. The motivation stems from the recognition that metastatic cancer represents a devastating eventuality affecting cancer patients with high relapse and mortality rates for which there are currently no effective therapies. Chemotherapy, radiation and surgery are the mainstays of cancer treatment. We adopt the best elements of these modalities into building a treatment design that has the systemic reach of chemotherapy and the spatiotemporal control of radiotherapy and surgery. We accomplish this by selecting light-sensitive chemotherapeutics and activating them with photoelectronic energy from radiopharmaceuticals to impart precision in cell killing akin to molecular surgery (Nature Nanotech, 2015; Nature Commun, 2018).

Experimental Imaging

We are also interested in developing new strategies to precisely image infectious agents in the body in real-time using clinical imaging modalities. The motivation stems from the recognition that there are no contrast agents in clinical use that can identify the different pathogens accurately, swiftly and in real-time. We are designing probes that would have high selectivity for the pathogen and avoid uptake by mammalian cells to provide superior contrast during imaging. We employ the entire process workflow, including cell based assays and animal models, to evaluate the probes for clinical applications as well as investigational tools to better understand host-pathogen and pathogen-pathogen interactions.

Kumari Lab

Our research specialty is in the area of complex fluids, nanotechnology, microfluidics, neutron scattering and drug delivery. We combine experimental and theoretical approaches to develop novel nano-architectures with applications in the areas of sustainability, green chemistry, pharmaceuticals/drug encapsulation and delivery, surfactant and formulation science, gas sorption and material science.

Supramolecular Chemistry

Supramolecular Chemistry

Our research focuses on synthesizing novel cavitands, and their complexes with metal, photoactives, and drugs. Preorganization of cavitands in a bowl shape with upper- and lower-rim functionality, offers a favorable environment for guest interaction and inclusion.  In particular, we are interested in rationalizing the principles of self-assembly, templation and nucleation, through combined solid and solution phase studies.  

Complex Fluids

Complex Fluids

The mobility and involvement of solvent molecules are different in crystals and in gels. We are particularly interested in studying the nucleation and equilibriums involved in the following hierarchical assembly processes:

  • One-dimensional growth of gel fiber
  • Crystallization of nano-assemblies in space (three-dimensional growth)
  • Binary nucleation process in a supramolecular gel phase crystallization (multi-dimensional grwoth)

Neutron Scattering

Neutron Scattering

We utilize small angle neutron scattering (SANS) technique to study the size and shape of self assembled systems (colloid, microemulsion, fibrillar assembly, metal nanocapsule, polymer), in solution.

Also, we use neutron reflectometry technique to estimate the penetration of an active in free state and in complexed (to our synthesized host) state into a model skin membrane.

Crystal Engineering

Crystal Engineering

In our group, we exploit the principles of Crystal Engineering to design new functional materials. In particular, we are interested in the encapsulation of photoactives and active ingredient compounds by non-covalent molecular assemblies. This includes capture of substrates in molecular nanocapsules or nanotubules assembled by means of hydrogen bonding or non-covalent interactions.

Soft Multiporous Framework

Soft Multiporous Framework

We aim to exploit macrocycle-derived supramolecular gel network as an inexpensive, synthetically tuneable and efficient, multiporous system for selective gas sorption and separation.

Cosmetic Science

Soft Multiporous Framework

To develop cosmetics that are safe and effective on human skin, manufacturers must have a deep understanding and knowledge of the chemistry involved in the formulations and their mechanisms of action. Our research focuses on integrating principles of modern biophysics into materials that would define the next generation of this field. We assess structure-property relationships to develop novel skin care, oral care and hair care products. In addition, we probe into mechanisms of delivery and deposition actives onto the skin/hair and elucidate the parameters to control them. We construct novel nanometric delivery vehicles, based on the principles of self-assembly and molecular recognition.

Faculty Award recipient, George Weber, Emerging Entrepreneurial Achievement Award.

Dr. Georg F. Weber has made major contributions to metastasis research by discovering the interaction between the molecules osteopontin and CD44, by defining the physiologic role of metastasis genes as stress response genes, and by identifying a gene expression core signature of metastases. While his laboratory continues to address fundamental questions, other ongoing research seeks new venues for diagnosis and therapy of cancer progression.

Anti-Cancer Metastasis Treatment

Project 1 Photo

We had earlier shown that cancer dissemination is controlled by aberrant expression or splicing of metastasis genes. We recently found that metastatic gene expression patterns are generally characterized by a core program of gene expression that induces the oxidative metabolism, activates vascularization/tissue remodeling, silences extracellular matrix interactions, and alters ion homeostasis. This program distinguishes metastases from their originating primary tumors as well as from their target host tissues. (Hartung et al. A core program of gene expression characterizes cancer metastases. Oncotarget 2017;8:102161. Hartung et al. Site-specific gene expression signatures of cancer metastases. Clin Exp Metastasis, DOI 10.1007/s10585-019-09995-w 2019). We are exploring ways to target the core signature with suitable drug combinations.

Nuclear Osteopontin

Project 2 photo

The cytokine Osteopontin is an important progression mediator in over 30 cancers. This lab has contributed some of the most significant advances to understanding the underlying mechanisms. We have reported the importance and uniqueness of Osteopontin splicing in cancer. Several Osteopontin variants are expressed in invasive, but not in non-invasive, human tumor cells. These splice variants may be indicators for progression or recurrence risk and for treatment responses (He et al.  An osteopontin splice variant induces anchorage independence in human breast cancer. Oncogene 2006;25:2192. Zduniak et al. Osteopontin variants in breast cancer treatment responses. BMC Cancer 2016;16:441.Walaszek et al. Breast cancer risk in premalignant lesions: Osteopontin splice variants indicate prognosis. Brit J Cancer 2018;119:1259). In some cancer cells, spliced osteopontin is present in the nucleus. We are studying the role of nuclear osteopontin in cancer progression.

Mitochondrial Effects by Osteopontin

Project 3 photo

Cancer metabolism has experienced a renaissance of research interest since 2006. We were among the first groups to report that cancer cell metabolism during metastasis is dramatically different from the much-studied Warburg effect. Enhanced energy production is a prerequisite in this process. Osteopontin-c supports anchorage-independence through inducing oxidoreductase genes that are associated with the mitochondrial energy metabolism and with the hexose monophosphate shunt. The Osteopontin-a-induced glucose uptake fuels this process. (Shi et al. Osteopontin-a alters glucose homeostasis in anchorage independent breast cancer cells. Cancer Lett 2014; 344:47. Shi et al. Energy metabolism during anchorage independence. Induction by osteopontin-c. PlosOne 2014;9:e105675. Weber. Metabolism in cancer metastasis. Int J Cancer 2016;138:2061). The impact of Osteopontin on mitochondrial function is incompletely elucidated. We are working on deepening our understanding of it.

Research Interests 

Traumatic brain injuries (TBI) are a leading cause of disability in populations across the globe. Diverse environmental factors can lead to various forms of TBI, many of which result in the generation of chronic, neuropsychiatric comorbidities such as depression, anxiety and social withdrawal. Our current understanding of the neuronal and molecular mechanisms that contribute to the generation of these neuropsychiatric complications remains limited. The focus of the Robson Laboratory is to enhance our understanding of how TBI alters molecular signaling that leads to changes in neuronal signaling and behaviors. Specifically, the Robson Laboratory has a defined interest in understanding how serotonergic neurons and neurotransmission within the brain are altered by various mild forms of TBI. Further, we study how selectively targeting injury-induced changes in serotonergic neurotransmission may lead to promising therapeutics aimed at treating TBI-induced neuropsychiatric complications. It is our hope that a greater understanding of the molecular underpinnings of TBI will lead to better medical treatments for the detrimental effects of neurotrauma.

Serotonin and Traumatic Brain Injury 

Chronic neuropsychiatric comorbidities are associated with TBI, including depression, anxiety, and social withdrawal, however our understanding of the mechanisms driving these sequalae remains extremely limited. Exacerbating this issue is the current lack of any FDA approved pharmacotherapies for TBI. Serotonin reuptake inhibitors (SRIs) are commonly prescribed to treat various neuropsychiatric disorders; however, these drugs typically fail to achieve desired efficacy in individuals with TBI. Serotonin (5-HT) is a monoaminergic neurotransmitter linked to the etiology of various neuropsychiatric disorders including depression, anxiety and altered social function, however the effects of TBI on 5-HT neurotransmission are not well understood. Our lab specializes in understanding the effects of injury on 5-HT neuron populations within the brain and understanding how signaling involving 5-HT is modulated following various forms of injury. This includes understanding the molecular consequences of injury on 5-HT neurons themselves and also using pharmacologic studies to probe specific 5-HT receptor function following neurotrauma. 

Preclinical Modeling for TBI 

Our laboratory uses animal models of clinically relevant mild TBI to study what happens to the brain after an injury. We currently work on developing clinically relevant models for TBI that recapitulate what commonly happens in human populations in order to better understand disease etiology. Many of the studies that the laboratory works on are particularly relevant to military service and sports-induced head injuries that affect millions around the globe. 

Robson Laboratory Publications  

Khalid F, Yang GL, McGuire JL, Robson MJ, Foreman B, Ngwenya LB, Lorenz JN. Autonomic dysfunction following traumatic brain injury: translational insights. Journal of Neurosurgery. 2019. 47(5): E8. PubMed ID: 31675718

Thome J, Reeder E, Collins S, Gopalan P, Robson MJ. Contributions of interleukin-1 receptor signaling in traumatic brain injury. Frontiers in Behavioral Neuroscience. 2020. 113: 287. PubMed ID: 32038189

Sturchio A, Marsili L, Vizcarra JA, Dwivedi AK, Kauffman MA, Duker AP, Lu P, Pauciulo MW, Wissel BD, Hill EJ, Stecher B, Keeling EG, Vagal AS, Wang L, Haslam DB, Robson MJ, Tanner CM, Hagey DW, Andaloussi SE, Ezzat K, Fleming RMT, Lu LJ, Little MA, Espay AJ. Phenotype-agnostic molecular subtyping of neurodegenerative disorders: the Cincinnati Cohort Biomarker Program (CCBP). Frontiers in Aging Neuroscience. 2020. 12: 553635. PubMed ID: 33132895

Logsdon AF, Lucke-Wold BP, Turner RC, Collins SM, Reeder EL, Huber JD, Rosen CL, Robson MJ,* Plattner F.* Compression wave injury model for preclinical assessment of closed-head mild traumatic brain injury in rodents. Journal of Visualized Experiments. 2020. 165. PubMed ID: 33226021

*Co-Corresponding Author

Collins SM, O’Connell CJ, Reeder EL, Norman S, Lungani K, Gopalan P, Gudelsky GA, Robson MJ. Altered serotonin 2A (5-HT2A) receptor signaling underlies mild TBI-elicited deficits in social dominance. Frontiers in Pharmacology. 2022. 13. PubMed ID: 35910378

O’Connell CJ, Reeder EL, Collins SM, Lungani K, Norman SV, Robson MJ. Mild traumatic brain injury elicits time- and region specific reductions in serotonin transporter protein expression and uptake capacity. NeuroReport. 2022. 33(14): 612-616. PubMed ID: 36062511

Reeder EL, Liber M-L, Traubert OD, O’Connell CJ, Turner RC, Robson MJ. Effect of driver gas composition of production of scaled Friedlander waveforms in an open-ended shock tube model. Biomedical Physics & Engineering Express. 2022. 8(6): 065028. PubMed ID: 36252558 

Reeder EL, O’Connell CJ, Collins SM, Traubert OD, Norman S, Caceres RA, Sah R, Smith DW, Robson MJ. Increased carbon dioxide respiration prevents the effects of acceleration/deceleration elicited mild traumatic brain injury. Neuroscience. 2023. 509: 20-35. PubMed ID: 36332692

Singer KE, McGlone ED, Collins SM, Wallen TE, Morris MC, Schuster R, England L, Stevens-Topie S, Robson MJ, Goodman MD. Propranolol reduces p-tau accumulation and improves behavioral outcomes in a polytrauma murine model. Journal of Surgical Research. 2023. 282: 183-190. PubMed ID: 36308901

Hetzer SM, O’Connell CJ, Lallo V, Robson MJ, Evanson NK. Model matters: Differential outcomes in traumatic optic neuropathy pathophysiology between blunt and blast-wave mediated head injuries. bioRxiv. 2023. DOI: https://doi.org/10.1101/2023.05.25.542261

Hetzer SM, O’Connell CJ, Lallo V, Robson MJ, Evanson NK. Model matters: Differential outcomes in traumatic optic neuropathy pathophysiology between blunt and blast-wave mediated head injuries. Experimental Neurology. 2023. 372: 114613. PubMed ID: 37995952

O’Connell CJ, Brown RS, Peach TM, Schwierling HC, Notorgiacomo GA, Robson MJ. Strain in the midbrain: Perspectives on traumatic brain injury and the central nervous system. Brain Sciences. 2024. 14(1):51. PubMed ID: 38248266

O’Connell CJ, Reeder EL, Hymore JA, Brown RS, Notorgiacomo GA, Collins SM, Gudelsky GA, Robson MJ. Transcriptional dynamics governing serotonergic dysregulation in the raphe nucleus following mild traumatic brain injury. Experimental Neurology. 2024. 374:114695. PubMed ID: 38246304

O’Connell CJ, Robson MJ. Apples to Oranges: Environmentally derived, dynamic regulation of serotonin neuron subpopulations in adulthood. Neural Regeneration Research. 2024. 10.4103

Robson Laboratory Funding (Current)

Targeting IL-1R1-Mediated Anemia in Complex Combat-Related Burns

Project Number: W81XWH-22-1-0849

Name of PD/PI: Gardner

Department of Defense - U.S. Army CDMRP Idea Development Award

No REST for 5-HT Neurons Following Traumatic Brain Injury

Project Number: 1R01NS137887-01

Name of PD/PI: Robson

National Institutes of Health - NINDS

Robson Laboratory Recruiting:

The Robson Laboratory is recruiting those interested in conducting undergraduate and graduate level research studies in the field of TBI. Please contact: Matthew.Robson@UC.edu for additional information.